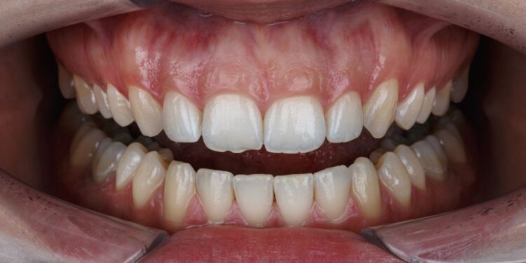
Normal gingiva, also known as healthy gum tissue, possesses several distinctive characteristics. First and foremost, it is firm and resilient to the touch. When I examine a patient’s gums, I look for this key attribute as it indicates a healthy state. Additionally, normal gingiva has a pale pink color, which suggests good blood circulation and oxygenation. This is a crucial aspect to consider when assessing the overall oral health of an individual.
Another important characteristic of normal gingiva is its smooth texture. As I run my finger along the gum line, I expect to feel a velvety surface. This indicates that the gums are free from inflammation or irritation. Furthermore, normal gingiva should tightly adhere to the underlying bone and teeth. This snug fit is essential in preventing bacteria from entering the deeper tissues and causing periodontal disease.
Normal Gingiva Has Which Of The Following Characteristics
Normal gingiva, or healthy gum tissue, has several distinct characteristics. These characteristics serve as indicators of good oral health and can help identify any underlying issues that may require attention. Let’s explore the key characteristics of normal gingiva:
1. Firm and Resilient: Normal gingiva should feel firm and resilient when touched. This firmness indicates good underlying support from the underlying bone structure. Healthy gum tissue is not easily movable and provides stability to the teeth.
2. Pale Pink Color: Healthy gingiva typically exhibits a pale pink color. This hue indicates good blood circulation, which is crucial for maintaining healthy gum tissue. Lack of blood flow can lead to gum disease, so a pale pink coloration is an important characteristic to look for.
3. Smooth Texture: Normal gingiva has a smooth texture. It should not feel rough, bumpy, or irritated to the touch. A smooth surface suggests the absence of inflammation, irritation, or signs of gingivitis.
4. Tightly Adhered: Healthy gum tissue is tightly adhered to the underlying bone and teeth. This tight attachment forms a natural barrier against the entry of bacteria and prevents the development of periodontal disease. The absence of loose or receding gums is a positive sign of good oral health.

Characteristics of Normal Gingiva
Color
Normal gingiva has a pale pink color. This indicates good blood circulation in the gums and is a sign of healthy oral tissues. The pink color is caused by the presence of blood vessels that supply oxygen and nutrients to the gum tissue. It’s important to note that individual variations in gum color can occur, but a pale pink hue is generally considered to be the norm for healthy gums.
Contour and Texture
The contour and texture of normal gingiva are smooth and uniform. Healthy gum tissue should have a scalloped appearance, with a slightly curved shape that follows the contours of the teeth. This allows for an effective seal between the gums and teeth, preventing the buildup of bacteria and food particles in the gum pockets. Additionally, normal gum tissue should have a smooth texture, free from any inflammation, irritation, or swelling. Inflamed or rough-textured gums can be a sign of gum disease or other oral health issues.
Consistency
Normal gingiva is firm and resilient. When you gently press on the gums with your finger, they should feel firm and bounce back quickly. This resilience is a sign of good oral health and indicates that the gum tissue is tightly attached to the underlying bone and teeth. In contrast, gums that are puffy, spongy, or bleed easily can be a sign of gum disease, such as gingivitis or periodontitis.
Size and Shape
The size and shape of normal gingiva can vary slightly depending on factors such as age, gender, and genetics. Generally, healthy gum tissue should cover the root surface of the teeth and extend to the level of the tooth’s neck. The gum tissue should form a tight, protective collar around each tooth, providing support and stability. Gum recession, where the gum tissue pulls away from the tooth, can expose the sensitive root surface and lead to tooth sensitivity and other dental problems.
To maintain and promote healthy gingiva, it’s important to practice good oral hygiene habits, such as brushing twice a day, flossing daily, and visiting the dentist regularly for check-ups and cleanings. These habits help remove plaque and bacteria from the gumline, preventing the development of gum disease and maintaining the normal characteristics of the gingiva.
Remember, while the characteristics described above are indicative of healthy gums, it’s essential to consult with a dental professional if you notice any changes or concerns with your gum tissue.













